丫丫同理心

 防微信公众号被封,把文章陆续搬来,因此发表时间和写作时间差距很大。作者 黄铁鹰


过了一周岁,丫丫开始不断让我吃惊。


丫丫18个月时,带她去沙滩。我游完泳正从水里出来,坐在沙滩上的丫丫,突然抓起我放在毛巾上的眼镜,忙不迭地跑向我。


那段距离有20多米。


我顾不上浑身海水,把歪歪扭扭跑过来的她抱起来。


丫丫姥姥惊奇的直砸嘴:“ 谁也没告诉她,从来也没人给你送过眼镜,这么小的她,怎么这么懂事?!”


我没带过孩子,我问太太:“别的孩子这么大,难道不会这样做?”


太太说:“好像没见过。她妈18个月大时,可没她这么懂事,丫丫有点早熟!”


用心理学的术语,丫丫似乎有了同理心——她知道我需要眼镜,因此,主动把眼镜送给我。


可是仔细一想,不对。同理心是指能站在别人的角度考虑问题——能理解别人的感受,知道别人的痛苦、快乐和需求。


可是能理解别人感受的前提,是自己要有相同或类似的经历才行。丫丫眼睛不近视,没带过眼镜,她怎么知道我对眼镜的需求?!


看来把丫丫送眼镜的举动理解为懂事,应该是以大人之心度丫丫之腹了。


丫丫21个月大时,我在花园干活被马蜂叮了几个包。丫妈给我检查伤情时,丫丫转身就往楼上跑。丫妈顾不得我了,跟着她上了楼。


丫丫到了我的卧室,打开抽屉,拿出我被蚊子咬时经常擦的茶油,又抓了一个棉签,转身往楼下跑。


到了我身边,把瓶子递给我说:“擦,擦,擦!”


我把棉签蘸好茶油,让她给我擦。结果,她边擦,边咧嘴,表情很痛苦。

此时,我明白了,这绝对是同理心的表现。


丫丫也经常被蚊子咬,丫妈给她擦止痒的药膏不太管用。有一天,我偷偷给她擦点茶油,结果把她沙疼了。


丫丫咧着嘴,边躲边哀求说:“不要擦了,不要擦了。”


以后,每次她看我擦茶油,都咧嘴。


她为什么咧嘴?因为她的大脑已发育到通过自己的疼,体会到别人的痛了。


脑神经学家发现人的右脑有个区域,当人疼痛的时候,那个区域会有反应;不仅如此,一般人看别人疼痛时,那个区域也有反应。注1


这就是我们看别人扎针也难受的原因。


显然,21个月的丫丫,这个区域的功能发育了。


脑神经学家发现并不是所有人这个区域的“电路”都正常。2013年芝加哥大学的心理学家。对121个关押在监狱的囚犯做一个实验。注1


实验时,他们用功能核磁共振(fMRI) 观察这囚犯的大脑。然后,给这些囚犯在不同时间,播放一些手指头被车门夹住,或者被锤子砸的录像。

主持实验的人分别让囚犯想象这是他们自己的手指头和别人的手指头。


结果发现有23%的囚犯,当想象是自己手指头被砸时,大脑的那个区域有反应,可是想象被砸的手指头是别人的时候,那个区域竟然没反应;不仅如此,有些囚犯的脑神经快感区竟然有了反应!注1


心理学家对正常人做同样的实验,结果,想象别人手指头被砸时没有反应的只占1%。


难怪他们犯罪,原来是没有同理心!


看了这个实验,我放了点心——丫丫成为罪犯的可能性比较低了,因为她已有了同理心。


丫丫不仅能给我送眼镜,拿茶油,不到18个月时,她就明白“累”这个概念。抱她时,只要说,累了,抱不动了。她一定会主动从身上滑下来,哪怕是正在上下楼梯。


让我奇怪的是,我们从来没教她;她也不可能明白理解别人,帮助别人这种概念。不到2岁丫丫的同理心(懂事)是哪儿来的?


丫丫真是上帝派来的天使,她不断提醒我——“姥爷,你有太多不懂的东西!”

谷歌真好,可以让人足不出户学任何东西,而且还免费。学十几天,才搞明白,原来心理学有个依附理论。


第二次世界大战期间,英国有很多孤儿。这些孤儿很多人当了小偷。一个叫John Bowlby 牛津毕业的心理学家和精神病医生,通过对44个少年犯小偷的研究,提出了这个概念。注2


半个世纪过去了,心理学、精神病学、动物学、犯罪学、脑神经学、儿科和儿童教育等专家,用多种实验方法和技术手段对这个理论进行验证,终于证明它存在。


什么是依附理论?


说白了就是,人的最基本需求是同别人建立关系,这个需求是在吃和性的生理需求之上


同别人建立关系为什么是人的基本需求?


因为人这种哺乳动物,个体生存能力极弱——跑的不如别的动物快,跳的不如别的动物高,牙齿不如别的动物大,体力不如别的动物强....., 要想生存只能抱团取火——人与人之间建立,比别的动物之间更强的关系,从而才能生存,而且成为万兽之王。


人不同别人建立关系肯定活不了。鲁滨逊是无奈的选择。


想象一下,如果把全世界财富的一半给你,让你一个人去火星生活,不许同人联系。你愿意吗?


同人建立关系,就要有理解别人的能力——通过察言观色,知道别人的情绪。


脑神经学家证明,人一出生就开始有这种能力。几个月的婴儿大脑对人焦虑和喜悦的表情,说话语调的高低就有不同反应。注3


同别人建立关系,就要变的对别人有用——每个婴儿都会回应大人的笑,每个小孩都会不厌其烦地,让大人当“活宝”耍。


“丫丫生个气。” “ 丫丫跳个舞。” “学学姥爷怎么游泳?”“哪儿想姥姥了?”

婴儿和小孩为什么要讨好大人?


我以前认为是大人鼓励的结果。依附理论告诉我,小孩讨好大人是为了跟人建立关系,这是他们的求生本能。


建立了关系,饿了才有人喂;冷了才有人盖被;难受了才有人照顾......,于是才能活下来。


我太太说:“这有点扯蛋,这不是功利交换吗?!这么小的丫丫能懂这个?”


人类学家和动物学家认为这是进化的结果。人类经过漫长的进化,逐渐有了这个比一般动物更强的社交基因。


非洲大象因为与众不同的牙被人类猎杀。结果现在的非洲大象,有越来越多一出生,就没有象牙的残疾象。 


优胜劣汰竟然进化出一群群,基因病变没象牙的“太监”大象!



基督教认为,小孩的助人行为是因为上帝造人,给人按了一颗怜悯的心,因此,人类才有爱。


不管是进化,还是上帝的手。科学已证明婴儿的脑神经中有这个“社交基因”只不过每个孩子的发育和环境不同,有的孩子“社交基因”能表现出来,有的孩子则表现不出来;有的表现充分,有的比较弱。


“社交基因”能表现出来的孩子,右脑那个区域的“电路”就正常——就有正常人的同理心;表现不出来的,右脑那个区域的“电路”就短路,一遇到想不开的事,就可能走极端。


同理心就是情商。情商高的人,人际关系一定不差。


哈佛大学做了一个快80年,而且至今还在做的关于幸福的研究。其中一个最重要结论——好的人际关系是幸福的第一源泉。注4


脑神经学证明负责情感和方位的右脑,比负责语言和逻辑的左脑发育早。从母亲怀孕到2岁的1000天里,人的右脑发育基本完成。左脑要到1岁半左右才开始发育。注3



这是人生存的需要,与别人建立关系和找回家的能力肯定比语言和逻辑重要。


因此,这1000天怎么照顾孩子几乎决定了他们一生的同理心强弱。注3


怎么照顾孩子,才能让他们的右脑发育成有正常同理心?


依附理论给出了物质与精神二方面的具体建议。


物质方面比较简单,就是及时满足孩子吃喝拉的生理需求。


复杂的是精神方面,它要求看孩子人的大脑跟孩子的大脑处在同一个频道。


比如,孩子紧张了,你能及时察觉到,从而消除她的恐惧;孩子生气了,你要及时找出原因,把她的气消了......


不仅如此,孩子快乐了,你还要能跟她一起快乐;孩子平静了,你不要逗她,应该让她享受自己的孤独.........


脑神经学家认为,二岁前小孩的右脑发育尚未完成,它还不能有效调节自己的情绪。此时,看孩子人的大脑就要变成孩子大脑的调节器——“两脑连动”!注3


为什么看孩子人的大脑要同孩子的大脑连在一起?


人体有70多种荷尔蒙,它们会根据人的不同情绪(恐惧、痛苦、紧张、高兴和平静)分泌出来,帮助人适应环境。(注5


如果某种荷尔蒙经常处于不正常水平,人就会得病。比如,长期精神紧张的人,身体一定会有其他毛病。


孩子大脑正在发育,某种荷尔蒙如果经常处于不正常水平,就会导致脑神经结构发育不正常。


“两脑连动”的目的就是让孩子的情绪在过度兴奋、紧张、悲伤和气愤时,能尽快恢复常态。


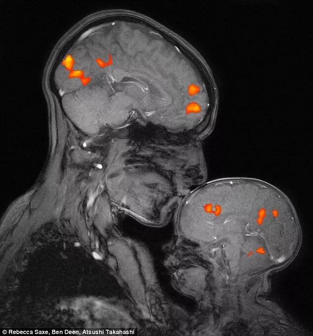
最能说明“两脑连动”的莫不如下面这个图像。这是普林斯顿大学神经学家Saxs和她2个月大的儿子Percy一同做的核磁共振。为了能证明母子大脑能共振,她用特制的核磁共振设备拍摄多次,才获得了这个理想的照片。注6


外行人看到的是两个形状相似,尺寸不同的大脑。

脑神经学家从这个图像能看到:半睡眠的婴儿,大脑中的血管随着母亲的吹眠歌声在轻轻的扩张!


依附理论并不主张让孩子发育期的大脑成为“温室里的花朵”,反而认为大脑的发育要有适当的刺激,只不过经受了刺激后,孩子的情绪在看孩子人的调解下能及时恢复常态。


丰富的经历才能发育出正常的大脑——有较大的脑弹性。


一个整天被一群大人逗着玩的孩子,不可能尝到孤单寂寞,自然也体会不到被爱和相伴的重要。


这样发育的大脑不可能捕捉和处理别人发射的孤独信号。


不理解别人的感受,怎么可能有同理心?


相反,在另一个极端环境下的孩子会不会更有同理心?


依附理论认为孤独时,没人陪伴;欢乐时,没人共鸣;痛苦时,没人安抚;伤害时,没人求助......的孩子,大脑神经结构发育也会有缺陷,从而导致情感麻木。


这样发育的大脑即使能接受别人的信号,也表现不出同情。他们会认为那点痛苦算个屁!?


真没想到,粗糙的心灵竟源自于二岁前的右脑发育!


学习依附理论后,我跟太太说今后带丫丫时,要不,把她放在一个安全区域让她自己玩;要不,全神贯注观察或者跟她一起玩,绝不看手机了。


我太太问:“为什么要全神贯注?我经常一只眼睛干活,一只眼睛看她。”


我说:“不全神贯注怎么体会她的情绪?!好在还有三个月,丫丫就2周岁了,等她的右脑发育完,我们再走神吧!”


2019年2月23日 悉尼 黄铁鹰


注1 www.psychologytoday.com,201310  "the-neuroscience-empathy "

注2 wikipedia John Bowlby 

注3 www.youtube.com "Modern attachment theory; the enduring impact of early right-brain development" 

注4 www. new. harvard. edu/ gazette "Good genes are nice, but joy is better"

注5 Wikipedia “ list of hormones"

注6  www.bable.com "Stunning image shows the science behind  mother and son bond"